The COVID-19 pandemic has caused a lot of disruptions in our lives, and it seems like it’s not done yet. Pediatricians across the country have reported a surge in rare brain abscesses in children under 18 years old. Two studies published in the Centers for Disease Control and Prevention’s Morbidity and Mortality Weekly Report have shown that cases of brain abscesses have been on the rise since pandemic restrictions eased. While the infections are still rare overall, they can be life-threatening if not treated promptly.
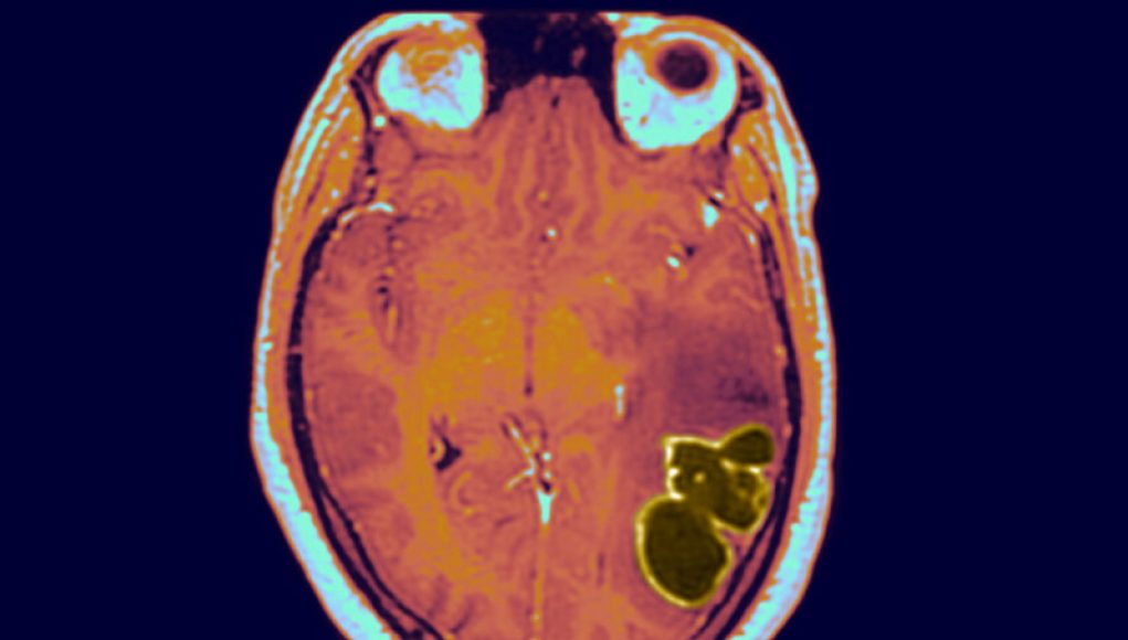
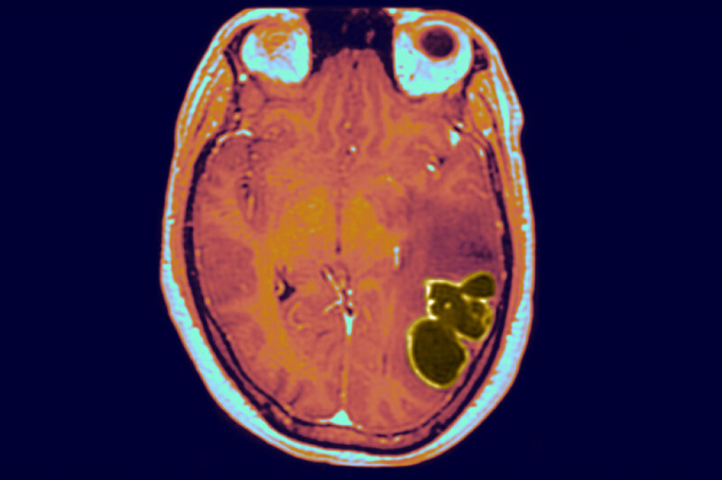
Brain abscesses can be caused by bacteria, viruses, or fungi entering the brain and forming an encapsulated area around the germs and pus. Streptococcus bacteria seem to be the main culprit in the recent rise. The infections can start in several ways, including from an infected head wound, meningitis, and congenital heart disease, but also more common conditions, such as sinus and ear infections. If left untreated, the pockets of pus in and around the brain can lead to rapid deterioration and permanent brain damage, causing severe neurological complications, such as seizures and difficulty with movement, speech, and cognition.
The surge in brain abscess cases is just one example of the wonky disease patterns that have emerged in the wake of responses to the COVID-19 crisis. The disruptions to normal life, social distancing, heightened hygiene measures, masking, and improved ventilation have led to severe disruptions in normal infectious disease cycles during 2020 and 2021. Influenza virtually disappeared in 2020 and 2021, for instance. But then restrictions eased, life inched back to a new normal, masks came off, and familiar germs made roaring comebacks, causing unusually high waves of infection, some at unusual times in the year.
It’s unclear what caused the surge in brain abscess cases, but the study authors note that it seems linked to surges in respiratory infections that followed eased pandemic restrictions. Brain abscesses “are often preceded by viral respiratory infection and sinusitis, and recent trends might be driven by concurrent, heightened pediatric respiratory pathogen transmission,” they wrote.
While surveillance continues, health officials have advised doctors to be on the lookout for brain abscess cases, which can be difficult to diagnose. Early symptoms can be nondescript, including fever, headache, and nausea before more worrying symptoms like behavior changes, weakness, changes in speech, and seizures develop. A review study from 2014 estimated that case fatality rates are around 10 percent, but about 70 percent of patients make full recoveries, particularly if the infections are caught quickly. Stay vigilant and stay safe!
As the United States begins to lift restrictions put in place in response to the COVID-19 pandemic, health experts have observed a troubling trend. Brain abscesses are becoming increasingly common in children residing in the United States, numbering nearly triple the amount that were recorded the year prior.
A brain abscess is a pocket of infection that forms within the brain due to bacteria, fungi, or rarely, parasites. A recent study conducted by the Center for Disease Control and Prevention (CDC) suggests that the number of of children in the US diagnosed with a brain abscess has tripled since the beginning of the pandemic. During the first half of 2020, less than 1.2 cases were reported per 100,000 children. In contrast, the new study revealed that during the second half of 2020, more than 3.4 cases were reported per 100,000 children.
The study concluded that the recent surge in brain abscess diagnoses among American children is likely due to relaxed COVID-19 restrictions and the increased prevalence of streptococcal bacteria, which is responsible for the majority of brain abscesses in children.
The healthcare experts suggest that the surge in cases has the potential to overwhelm hospitals and healthcare services. Those with weakened immune systems are even more likely to be diagnosed with an abscess. Brain abscesses can be incredibly difficult to treat and require a combination of antibiotics, surgery, and timely intervention.
In light of these findings, healthcare experts urge parents to remain mindful of the condition. It is important to be aware of any symptoms which may indicate a brain abscess, such as frequent headaches, fever, lethargy, or changes in mental functioning. If you or your child is showing any of these symptoms, you should consult your doctor immediately.
Early treatment is essential in helping to avoid further health complications, so prompt attention is necessary. Though the reopening of the United States has been beneficial in allowing for daily life to return to normal, it is crucial to remain mindful and conscious of the potential health risks that can follow suit.



















